Skip to main content
Crowns
A healthy, beautiful smile starts here

Crowns | Dentist
Improve your smile today – call to schedule a consultation!
Claim Now!

Crowns

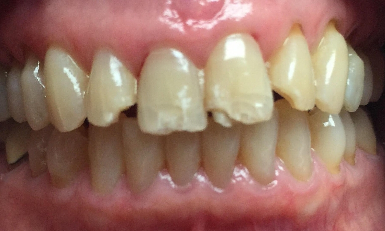
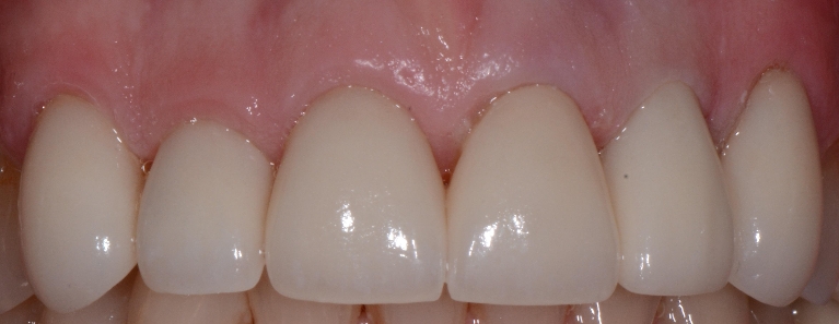
A crown or in layman’s terms a “cap” provides 360 degrees of protection around a tooth and many situations occur where this is a  useful restorative option.  A crown is indicated when a tooth becomes damaged from a large fracture or cavity.  A crown may also save a tooth from catastrophic failure when  deep cracks are present through the enamel into underlying tooth structure.  In addition, crowns are indicated in most situations where a tooth has received root canal treatment.  Finally, another common use of a crown is to restore cosmetic defects such as deep staining, discolored restorations, or in some instances to help straighten teeth. 

A crown can be fabricated from ceramic, metal, or a combination of both.  Today, most of our patients receive all ceramic crowns which are made  of a special type of porcelain, zirconia, or a combination of both.  We prefer all-ceramic materials due to their enhanced strength, biocompability, and very low incidence of chipping.  Gold is a great restorative material for crowns as well due to its proven track record in the field of dentistry, strength, and excellent biocompability.  Gold can be used in the back of the mouth when esthetics are typically not a concern.

Fabrication of a crown typically consists of two patient visits.  The first visit includes removal of decay or broken portions of tooth structure and replacement with a core material.  Core material is a biocompatible substructure restoring lost tooth structure and remains under the crown to help hold it in place long-term.  Also, at the first visit an impression for the dental laboratory will be taken, and this is used to custom fabricate a crown matching your existing teeth for optimal esthetics.  A temporary crown is also made at this appointment.  The temporary crown is worn for approximately 1-2 weeks, and then the patient will return to the office for the 2nd shorter visit (usually 15-30 minutes) to have the final crown seated. 

Crowns are a versatile long-term restorative option and just like natural teeth require home-care and regular dental check-ups and cleanings, feel free to call our office with any questions or to schedule a consultation appointment to find out if a crown is right for you. 

Frequently Asked Questions

A veneer is a a thin layer of a ceramic tooth colored material which is bonded to the front of a tooth.  Veneers are usually placed for many reasons ranging from cosmetic enhancement to replacement of missing tooth structure lost due to chips and fractures.  Veneers are bonded to a tooth’s existing enamel.  Veneers are usually about 1 mm (.04 inches) thick and require a minimal amount of removal of existing enamel and as such much of the procedure can be accomplished without any local anesthesia!  

Veneers can be used to correct a number of problems.  Veneers can be used to correct misshapen, worn, and fractured teeth.  They can also be used to correct teeth that are severely discolored due to staining which is deep within the tooth and cannot be eliminated through other bleaching techniques.  Veneers can also be used to correct spacing or crowding of the front teeth.  In effect, veneers can serve as an immediate form of braces for patients who do not want to go through orthodontic treatment.

While the situations where veneers are numerous,  it is critical to have us perform a thorough evaluation of your existing teeth and bite to make sure veneers are a long-term and smart option for you.  Like anything,  veneers when used in the right situations create a significant cosmetic enhancement to a smile.

Meet Our Doctor:

Matthew Giunta DMD, FICOI

Dr. Matthew Giunta was born and raised in Tampa, Florida. After graduating from Jesuit High School in 2001, he earned his Bachelor of Science degree in Biomedical Sciences from the University of South Florida in 2005. In 2009, Dr. Giunta earned his Doctor of Dental Medicine degree from the University Of Florida College Of Dentistry.

Dr. Matthew is devoted to learning about the latest techniques and technology in dentistry to restore teeth damaged through aging and trauma.  He continually updates his knowledge base by attending ...

Getting an appointment is fast and easy!
Get Started!