Smile Gallery
To view a larger image of each smile gallery item, click on the picture you would like to see.
Before
After
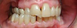
Treating worn teeth
These teeth show loss of length that sometimes occur during a lifetime. They were restored to health with ceramic crowns.
Before
After
Single Appointment leads to healthy, beautiful teeth
In one appointment we are able to restore this patient's teeth to their natural beauty and health. Conservatively and efficiently!
Before
After
A tragic fall turns to dental masterpiece
This patient suffered a fall. A couple of short of visits later, her smile was brought back to the beauty nature intended!
Before
After
Veneers
This patient's front teeth became worn and discolored through years of wear and tear. We were able to restore their youthful vitality using veneers
Before
After
Composite Restoration
These teeth had failing composite restorations with leaking margins and recurrent decay under the old material.
While only numbing the teeth we were working on, we were able to replace the restorations in about 30 minutes
Before
After
Before
After
Broken front tooth
This patient fractured her front tooth. We were able to save the remaining portion and rebuild a new tooth using a ceramic dental crown. This can be done in 2 visits!
Before
After
Gold Crown becomes a natural tooth
Sometimes in life we like something, then our likes change with time. That's what happened with this patient. She had an open-faced gold crown that she no longer liked, and wanted it replaced with something natural. That's exactly what we did in 2 visits!
Improve your smile today – call to schedule a consultation!
Claim Now!
Smile Gallery Categories